インプラント・口腔外科|鎌倉市大船の歯医者|医療法人東歯会 鎌倉ハート歯科クリニック

中ページメイン画像
中ページメイン画像
 
 
友だち追加

HOME > インプラント・口腔外科

インプラント

▲下線部をクリックすると、その項目までジャンプします。

口腔外科相談日

歯科口腔外科 市ノ川義美先生の診療日は、毎月1回行っております。
相談も受付けていますので、お気軽にお問い合わせください。

2025年11月 15日(土) 9時半~13時半
2025年12月 20日(土) 9時半~13時半
2026年1月 24日(土) 9時半~13時半

インプラントとは

インプラント治療とは、失ってしまった自分の歯の替わりに、人工の歯根を顎の骨に埋め込み、その上に人工の歯を作製して噛み合わせを回復する治療法です。
固定性であるためガタついたりせず、白分の歯のように噛めるようになります。

インプラント

インプラント治療を行うことで、治療後の噛む機能が正しく改善されると思います。
 
慣れるまでは多少違和感を感じることもありますが、その期間を過ぎれば、自然の歯に匹敵する機能が得られます。
人が物を噛むときの力は、想像以上に大きいものです。でも、丈夫なインプラント(人工歯根)なら、天然歯の歯根と同様に機能します。また歯冠の色や形も、最新の歯科技術によって、自分の歯と同じように作ることが可能です。
 
インプラント治療は市ノ川義美が担当いたします。

当院のインプラント症例(1本失った場合)

インプラント症例(1本失った場合)①術前
インプラント症例(1本失った場合)①術後
インプラント症例(1本失った場合)②術前
インプラント症例(1本失った場合)②術後

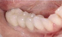
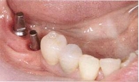
当院のインプラント症例(奥歯を失った場合)

インプラント症例(奥歯を失った場合)①術前
インプラント症例(奥歯を失った場合)①術後
インプラント症例(奥歯を失った場合)②術前
インプラント症例(奥歯を失った場合)②術後

当院のインプラント症例(前歯を複数失った場合)

インプラント症例(前歯を複数失った場合)①術前
インプラント症例(前歯を複数失った場合)①術後

インプラントのメリット

・しっかりとした噛み心地

インプラントと顎の骨がしっかりと結合しているため、今までの自分の歯のようにしっかり噛むことができます。

・天然歯と見分けのつかない審美性

インプラントは、埋め入れる位置や角度、噛み合わせ、周りの歯との調和を考えられて埋入されるので、違和感がない見た目となります。
被せ物も、透明感と自然なツヤのセラミック素材を使用することが多いので、天然の歯のような審美性を手に入れることができます。

・周りの歯に影響がない

部分入れ歯は健康な歯にバネをひっかけるので負担がかかり、ブリッジも健康な歯を土台にしなければなりません。
健康な歯でも負担がかかり続けると、いずれは歯を失うことにつながってきます。インプラントは周りの歯に影響することなく、治療できます。

・顎の骨が吸収されない

入れ歯は噛む力が弱くなり、顎に十分な刺激が伝わりにくくなります。そのため、骨代謝が少なくなり、骨の吸収が進んでしまうので、入れ歯の調整が必要となってきます。
インプラントは噛むたびに、力がダイレクトに刺激が骨に伝わるので、歯茎も痩せにくくなります。

・半永久的に使用できる

入れ歯やブリッジの多くは、土台となる歯の状態などの影響で再治療となることが多い場合があります。インプラントは定期的なメインテナンスは必須ですが、長い期間使用することができます。

インプラントをおすすめする方

  • 入れ歯に抵抗がある
  • 入れ歯を何度も作り直している
  • 今までと同じ見た目の歯を希望する
  • 周りの歯に負担を掛けたくない
  • 失ったのが一番奥の歯

インプラント治療の流れ

1.精密検査

患者様の歯や歯茎、顎の骨の状態を確認し、血管や神経の位置などを把握します。
インプラント治療の外科手術をより安全にするために、丁寧な診察やCTでの撮影、レントゲン撮影などを行います。

2.治療計画

精密検査での患者様の詳細なデータからコンピュータで診断し、治療計画をたてます。
手術のシミュレーションをコンピュータ上で確認し、埋め入れる顎の位置やインプラントの角度などの確認を行います。

3.説明

診断画像やコンピュータでのシミュレーションをご覧いただきながら、丁寧に説明していきます。ご納得いただいてから、インプラント治療を始めるので、不安なことや分からないことがありましたら、ご質問ください。

インプラント周囲炎について

インプラント周囲炎は、歯周病のように細菌が歯茎に入り込み炎症がおこる感染症です。
インプラント治療後に、磨き残しが多かったり、定期検診に行っていなかったり、とメインテナンスが不十分な状態が続くと、インプラント周囲炎に感染し、埋め入れたインプラントが脱落してしまうこともあります。

インプラント周囲炎になる原因

・定期検診に行かなかった
・歯ブラシで磨き残しがある
・歯周病リスクがある

インプラント周囲炎の治療■

歯周病と同じような原因で症状も似ていますが、インプラント周囲炎に完全な治療法はまだ存在していません。
インプラント周囲炎の治療は長期的なものになり、治療方法はインプラント周囲炎の進行により異なってきますが、歯周病治療のように、歯垢・歯石を取り除き、歯科医院とホームケアの2つで様子をみながら通院していただきます。

インプラント周囲炎にならないための予防方法■

インプラント周囲炎も自覚症状がほとんどなく、気が付いたときには重度になっている場合が多い病気です。そのため、毎日のメインテナンスがとても大切です。
インプラント周囲炎を予防するためにも、歯科医院への定期的な検診と、家での正しいケアを継続しましょう。

定期検診ですること■

  • 歯周ポケットの深さを測り、状態を診察
  • 顎の骨吸収が始まっているかの確認
  • インプラントが動揺していないか、ネジのゆるみ、被せ物のチェック
  • PMTC
  • 正しい歯磨き指導

口腔外科

口腔外科とは

顎顔面領域における炎症、のう胞、腫瘍、外傷、先天奇形、ウィルス性疾患、顎関節疾患等における疾患を扱う診療科目です。

口腔外科で扱う疾患

  • 智歯(親知らず)など歯が原因で歯茎やあごがはれる炎症(親知らず治療ページへ)
  • 顎関節症(詳細ページへ)
  • インプラント(詳細ページへ)
  • 転倒などにより、歯の破折や口の中の裂傷、あごの骨折などの外傷
  • 口の粘膜などに発生する良性および悪性腫瘍
  • あごの中や軟組織にできる嚢胞
  • 唇顎口蓋裂などの先天異常
  • あごの大きさや位置が著しく異なり矯正治療だけでは治らない顎変形症
  • 口腔粘膜疾患
  • 入れ歯の維持安定性をたかめる補綴前外科
  • 歯牙移植
  • 口に中に症状を表す全身疾患(血液疾患、膠原病)

 

など

親知らずの治療について

大学病院へ行かなくても、当院で親知らずの治療ができます

親知らずでお困りの方は、なるべく早くご相談ください

 
当院では、大学病院より歯科口腔外科の先生が定期的に治療に参ります。
 

 
 

また、治療の際には、『治療計画説明書・同意書』にご署名をいただき、ご納得いただいた上で進めてまいります。

親知らずとは

歯のなかで一番最後に生えてくるのが親知らず(智歯)です。
現代人の顎は退縮傾向にあり、親知らずの生えるスペースがたりなくなって斜めには生えたり、あるいは一部分しか生えずに埋まっている状態になることがあります。とくに下あごにその傾向が強いようです。そのため、上の歯とは噛み合わず、ものを噛む機能はありません。

親知らず

親知らずの治療が必要な理由

歯ぐきに炎症をおこしてしまいます

親知らずは歯並びの一番奥にはえてくるため、歯ブラシが届きにくく、親知らずの周りの歯ぐきに炎症をおこすことがあります。親知らずが原因の炎症は重篤な症状をおこしやすく、あごの周囲の組織に広がることがあり、とくに下あごの親知らずでは口が開きずらくなったり、ものが飲み込みにくくなったりします。

周囲の歯を虫歯や歯周病にすることがあります

親知らずは斜めにはえたりすることが多く、親知らずばかりか、隣の正常に生えている奥歯を虫歯や歯周病にすることがあります。

歯茎や頬の粘膜を噛んでしまいます

正常にはえていない親知らずは歯茎や頬の粘膜を傷付ける事があります。また不健康な咬み合わせ、顎関節や顎の筋肉の病気の原因となります。

歯並びを悪くしてしまいます

斜めに生えている親知らずはほかの歯の歯並びを悪くすることがあります。特に矯正治療を行った方は注意が必要です。

注意!

女性の方は、妊娠期間中につわりのため十分歯磨きができない場合があります。大切な赤ちゃんのためにも薬の服用が気になるようなら、早めに相談することをお薦めます。

親知らずの治療にかかる費用

原則的に保険診療となるため、抜歯手術時の窓口負担金として2,000~5,000円程度(レントゲン代除く、化膿止め・痛み止めの内服薬代含む)となります。
 

親知らずの治療は抜歯が適応となります。

 
しかし埋まった状態の親知らずの抜歯はなかなか大変で、特に下あごの親知らずはあごの骨の中にある知覚神経(触覚や痛覚をつかさどる神経)や血管に近接しており、抜歯した後に唇や顔面皮膚の知覚異常や抜歯した部位からの出血の原因になることが稀にあります。
 
歯科医師とよく相談をしてから治療を受けられることをお薦めします。もちろん正常に生えて、きちんと噛んでいるものや今後正常にはえる可能性があるもの抜歯をする必要はありません。

鎮痛剤について

抜歯後は痛みが出る場合があります。その場合は、鎮痛剤をお飲みください。

  • ロキソニン
  • ボルタレン
  • ロルカム
  • ポンタール

 
これらの薬剤は、使用期限(約3年)があるので、飲む際にはよくご確認ください。
また、日陰で常温の場所で保存するよう心がけてください。

鎮痛剤

親知らずの抜歯難易度

埋伏の深さと傾斜度から分類した抜歯の難易度
埋伏の深さと傾斜度から分類した抜歯の難易度
 
(『智歯の抜歯ナビゲーション』クインテッセンス出版より抜粋)

抜歯後の注意事項

◆抜歯後当日
(1)ガーゼは止血の為、5~10分位、しっかり咬んで下さい。
   その後捨ててください。
(2)翌日迄、唾に混ざってうすい血が出ることがあります。
   多少血がにじむのは異常ではありません。
(3)出血を気にしてうがいを何度もしますと、余計に止血しにくくなりますので、
   強いうがいはしないようにしましょう。
(4)抜歯した部分を指や舌でふれると出血したり、
   細菌が入ったりするので、刺激しないようにしましょう。
(5)その後も出血が続く様でしたら、新しいガーゼに取り替え、
   10~20分位しっかり咬んで様子をみて下さい。
   それでも止まらない場合は、必ず御連絡下さい。
(6)処方された抗生剤を必ず飲んで下さい。
 
◆運動・入浴
(1) 抜歯当日は過激な運動はさけ、入浴はしないで下さい。
(2)特に腫れ、痛みがなければシャワーは結構です。
 
◆食事・禁酒
(1)抜歯後、麻酔がきれましたら食事して結構ですが、
   抜歯してない側で咬むようにしましょう。
   固いもの、辛いもの、刺激物はさけて下さい。
(2) 当日はアルコール類は極力飲まないようにして下さい。
 
◆痛み・腫れ
(1)痛み止めが処方されていますので、痛い時は飲んで下さい。
   痛みに弱い方は麻酔が切れる前(ご帰宅時)に飲むと
   薬が効いてくるまでの時間が痛くなくてすみます。
   痛くなければ、頭痛、その他の痛み止めとしておのみ下さい。
(2)腫れてきても、水で絞ったタオル等で湿布するのは構いませんが、
   氷等で冷たく冷やしたりしないで下さい。
   翌2~3日たってもズキズキする等の異常があった場合には
   必ず御連絡下さい。

治療計画説明書・同意書

当院では、抜歯についてしっかりと説明し、患者様に同意いただいたうえで治療を進めます。
詳しくは、 治療計画説明書 同意書をご覧ください。 

抗生剤の予防投与について

当院では、親知らずの抜歯の際、腫れが少なく済んだり、治りが早いなどの効果を得られることから、抗生剤を投与しております。

感染性心内膜炎の予防について

感染性心内膜炎とは、心臓の内側に細菌が感染し、これによる心臓弁の穿孔等の炎症性破壊と菌血症を起こす疾患です。
抜歯の際などに、循環血液中に細菌が侵入して発症することが契機とされています。
 
当院では、感染性心内膜炎を予防するため、親知らずの抜歯の前に抗生剤を処方しております。

 

 
 
友だち追加
 
 
 
 
 
 
男性歯科衛生士さん歓迎!
 
 
 
 

PDFファイルをご覧になるには、アドビ社のサイトから「Adobe Reader」をダウンロード(無料)してください。